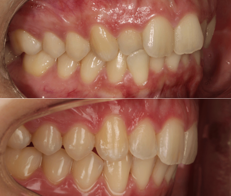
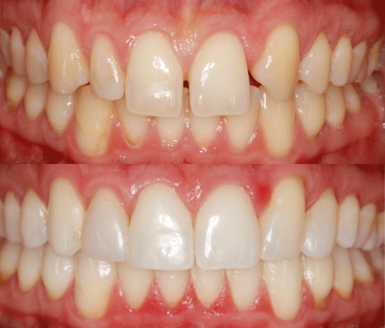
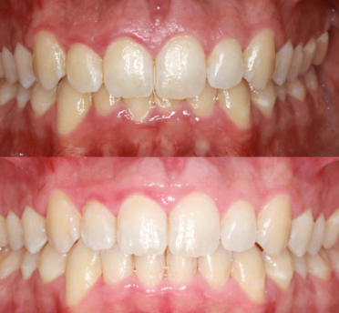
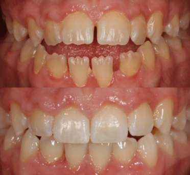
When you come to see us for your ClearCorrect® consultation, we will make an impression and take X-rays of your teeth to determine the severity of your problem.
We will then send the impression and X-rays, along with your dental records, to a dental laboratory where a 3D model of your teeth is created.
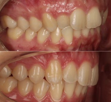
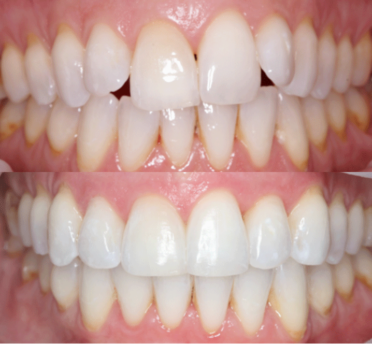
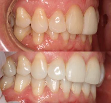
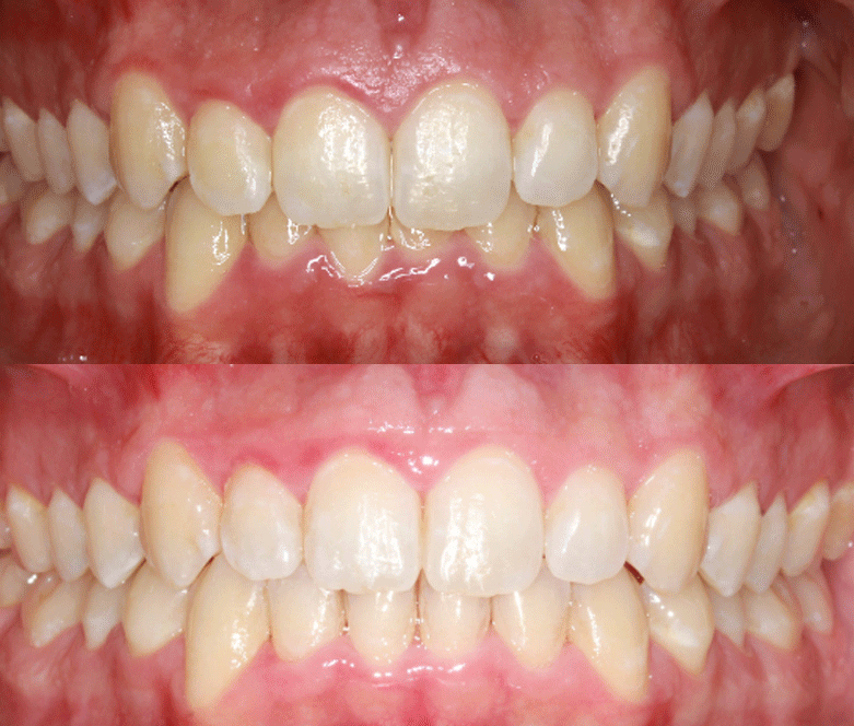
We will then map out a complete treatment plan showing the gradual realignment that will reposition the teeth from their current position to where they will be when the treatment is complete.
